
Luxation de la rotule chez le chien
Dr. med. vet. Lena von Spiessen
15.06.2025
Pourquoi une démarche inhabituelle cache souvent plus qu’un simple trait de race
Beaucoup de propriétaires de chiens le remarquent d’abord en jouant ou en se promenant : à vitesse rapide, le chien sautille comme s’il « oubliait » une patte arrière. Ce que certains prennent pour une caractéristique de race charmante peut être un réel problème orthopédique – la luxation de la rotule.
Qu’est-ce que la luxation de la rotule ?
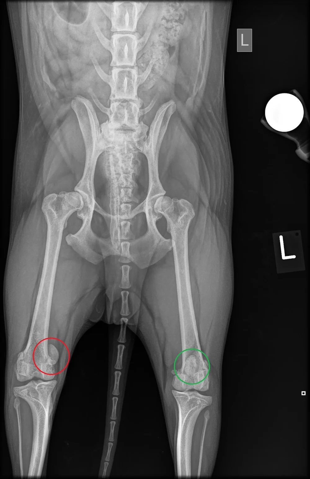
La rotule (patella) glisse normalement dans une rainure du fémur. Si elle sort de cette rainure en mouvement, on parle de luxation. Ce « déboîtement » perturbe brièvement la démarche – visible quand le chien lève soudainement la patte. Il existe 4 grades de gravité. Un diagnostic précoce est essentiel pour éviter les séquelles.

Radiographie
Petites races souvent concernées
La luxation apparaît souvent chez les jeunes chiens, notamment les petites races comme le Chihuahua, le Caniche nain, le Yorkshire Terrier ou le Bouledogue français. Mais toutes les races peuvent être concernées – la vigilance des propriétaires est donc primordiale.
Détecter et traiter la douleur – prévenir les complications
Non traitée, la luxation entraîne douleurs, perte musculaire, arthrose et parfois rupture du ligament croisé due à l’instabilité chronique.
Un acte de responsabilité pour les éleveurs
Pour les éleveurs, l’examen de la rotule est une étape clé. En Suisse, de nombreuses races l’exigent entre 15 et 24 mois. L’objectif : sélectionner les chiens sains pour réduire les cas futurs.
Comment se déroule un examen patella ?

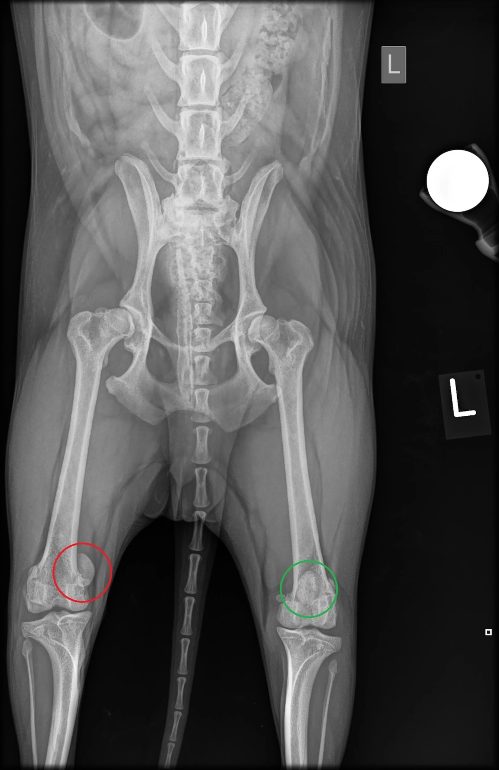
Examen pour une luxation de la rotule
Le microchip est lu pour vérifier l’identité. Suivent un examen clinique bref et une analyse orthopédique par des vétérinaires certifiés SVK :
- Boiterie ou fonte musculaire ?
- Stabilité de la rotule dans la rainure ?
- Déplaçable par pression douce ?
- Retour spontané ?
- Autres pathologies articulaires ?
Les 4 grades de luxation :
- Grade 1 : Luxable manuellement, sinon normal
- Grade 2 : Luxation spontanée, retour spontané
- Grade 3 : Luxation permanente, mais réductible
- Grade 4 : Luxation permanente, non réductible
La conformité à l’élevage dépend du grade et des règles du club de race. En général : Grade 0 = conforme, Grade 1 = parfois avec conditions.
Seuls les vétérinaires certifiés GST peuvent évaluer
En Suisse, seuls les vétérinaires certifiés GST (Société des vétérinaires suisses) peuvent réaliser ces examens. La certification est à renouveler tous les 4 ans.
Votre clinique VetTrust de Bâle – examens patella professionnels
La clinique VetTrust à Bâle propose des examens patella approfondis, réalisés par des vétérinaires certifiés officiellement par la GST.